米倉涼子の整形説を顔写真とパーツの比較で調査③口

真っ赤な唇の米倉涼子
最後に注目するのは口ですが、こちらも目・鼻と同様に整形をした可能性は低いです。
目や鼻に比べると、整形を疑う声自体が少ないという事実もあります。
実際に画像を使って比較しながら、口元の変化について見ていきます。
スポンサーリンク
1996年(21歳)と2022年(47歳)の比較

米倉涼子の口の整形検証1996年~2022年
目の縦幅が大きく変わっていますが、表情や角度の違いによるものと判断しました。
米倉涼子さんご本人が、「生まれつき目力が強い」と語っているため、こちらが本来の目つきに近いと推測しました。

米倉涼子の口の整形検証1996年~2022年(拡大)
- わずかに涙袋が確認できる
- 目の間の幅は変わっていない
- 米倉涼子さんは幅の薄い二重まぶた
1996年に比べて、唇は薄くなりツヤもみずみずしさも減りました。
これは加齢によるものと考えられ、米倉涼子さんが年齢と共に変化する唇をナチュラルに保っていることの証明にもなります。
そして歯並びですが、こちらもほとんど変わっていません。
米倉涼子さんの歯は、右の犬歯が少し前に出ているような形をしており、これも1996年から変化がありませんね。
違いがあるとすれば、前歯の隙間が埋まっています。
前歯の隙間を詰める方法は、CR接着修復法やラミネートベニア法など様々な種類があります。

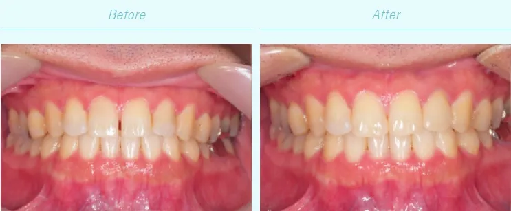
CR接着修復法の治療例(鍋山歯科クリニックHPより引用)
スポンサーリンク

ラミネートベニア法による治療例(大阪大学歯学部附属病院HPより引用)※現在はリンク切れ
米倉涼子さんの場合は、前歯の根元から隙間があるわけではないので、これらの施術には該当しないと考えられます。
米倉涼子さんはすきっ歯というほどではありませんが、大人のすきっ歯は自然治癒しないと言われています。
このことから米倉涼子さんの歯並びが成長に伴って整ったとは考えにくく、可能性としては歯列矯正が考えられます。
しかし、米倉涼子さんが歯に矯正器具をつけていた過去の写真は見当たりません。
スポンサーリンク
米倉涼子が歯列を治した時期とその方法は?

米倉涼子の歯並びの比較1996年〜2003年
こちらの比較を見ると、1999年の時には既に前歯の先端の隙間が埋まっているように見えます。
そして2003年の時点で、完全に綺麗な歯並びになっていますね。
1996年から1999年の間に治療していたのでしょうか?
矯正器具の中にはワイヤーが目立たないものや、歯の裏側にセットして取り外しが可能なものもあるため、そういった器具を用いて歯並びを治した可能性もあります。
しかし、前述のとおり、犬歯が少し前に出る形が治っていないところを見ると、全体的に矯正したとは考えにくいです。
米倉涼子さんは、セラミック治療で前歯の先のわずかな隙間を埋めたのではないでしょうか。

セラミック治療による歯の治療例(渋谷宮益坂歯科HPより引用)
スポンサーリンク
- 詰め物や被せ物にセラミックという素材を使用することで、欠けた歯や亀裂のある歯を綺麗に見せることができる歯科治療
- セラミック素材には美しく丈夫で、歯との親和性が高いという特徴があり、セラミック治療を受けた歯は歯科医師でも本物の歯だと見間違えてしまうことがある
- 歯そのものの見た目が良くなることから、ホワイトニングや矯正にも利用される
セラミック治療は、特に口を開けた時に目立つ前歯に使われることも多いと言われています。
まさに米倉涼子さんの前歯の状況と一致しますね。
ただし、歯列矯正は整形ではないため、米倉涼子さんは歯に関しても整形手術を受けているとは言えません。
スポンサーリンク
米倉涼子は賞を取るほどの横顔美人だった!
ちなみに、米倉涼子さんの美しい口元は業界でも認められており、「横顔美人の賞」とも言われるE-ライン・ビューティフル大賞を受賞しています。
- 横顔の「鼻の先端と顎の先端を結んだライン」のことを指す
- Eは美学という意味の英単語「エステティック(esthetic)」の頭文字
- Eラインの美しさは、鼻の先端と顎の先端を結んだEラインから、唇がどのくらい前に出たり、後ろに下がったりしているかのバランスによって判断され
- 日本人の場合は、Eラインの内側に上下の唇の先が収まっている状態が美しいとされている

Eラインが美しい米倉涼子
米倉さんの横顔を見てみると、上下の唇の先端が、Eラインの内側に収まる理想の横顔をしていることが読み取れます。
正面から見ても美人だとわかるのに、横顔も美しいなんて羨ましい限りです。
これが整形ではなく生まれ持ったものだというんですから、さらに驚きですよね。



コメント